細菌性皮膚感染症 : 表在性ブドウ球菌性膿皮症
要約
- 表皮および毛包の表在性細菌感染は通常、アレルギー性疾患および寄生虫疾患、内分泌異常、自己免疫性疾患、構造的異常や角化異常に続発して起こる。
- Staphylococcus pseudintermedius が主な原因菌である。S. schleiferiおよびS.aureus(黄色ブドウ球菌)の頻度は低い。
- 特に再発性感染症の患者、および抗菌薬の多剤投与の後には、ブドウ球菌属のメチシリン耐性が発生する可能性がある。
- 犬で頻度が高く、猫ではまれである。
どのような疾患か?
- どの品種の犬にも発生する可能性があるが、アトピー性皮膚炎に罹りやすい品種に診断されることが多い。
- 臨床徴候としては、紅斑、膿疱、丘疹、痂皮、落屑、表皮小環、脱毛などが挙げられる。猫では主に多数の痂皮化丘疹(「粟粒性皮膚炎」)またはびらん性局面を呈する。
- 短毛の品種ではしばしば体幹に「虫食い状の」斑状脱毛を呈し、微細な環状~半環状の痂皮および小環を示す。
- 主な罹患部位は、犬では腋窩、睾丸、腹側頸部、腹部、指間であり、猫では顔面、頸部、腹部である。
- 被毛を刈るまでは、皮膚病変の程度を完全に評価することは難しい。
- かゆみは、なし~重度の範囲で認められる。
どのように診断するか?
- 皮膚掻爬試験によるニキビダニ属、真菌培養による皮膚糸状菌症の除外
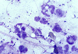
- 皮膚細胞診:膿疱、丘疹、痂皮、小環の押し当て塗抹法
- 実際の感染症では、細胞内球菌および好中球を調査する必要がある。過剰増殖では、球菌数が増加し、それに伴い好中球がほとんど認められなくなる。
- 抗菌薬投与歴のある症例、非奏効症例、膿皮症を有する症例の場合、またはメチシリン耐性を除外するために、細菌培養/感受性試験を行う。
- 皮膚病理組織検査のための皮膚生検によるその他の疾患の除外;表在性膿皮症の症例における所見としては、角質下膿疱、毛包炎、毛包周囲炎が挙げられる。痂皮または毛包内ケラチンに細菌が認められることもある。
どのように管理するか?
抗菌薬の全身投与(表1参照)
- 予測される有効性および安全性、飼い主の投薬コンプライアンスの見込みに基づき経験的に選択する。
- 経験的療法では軽快しない感染症、慢性または再発性感染症の患者、もしくは抗菌薬使用歴のある患者における抗菌薬の全身投与は、培養および感受性試験の結果に基づき選択する。
- 抗菌薬は14日間以上、または膿皮症の臨床徴候が完全に消退するまで投与する必要があるが、耐性菌の選択を抑制するため必要以上に長く投与してはならない。
- 外用抗菌療法との併用を頻回に行う。
| 表1.表在性ブドウ球菌性膿皮症の治療に有用な抗菌薬 | ||
|---|---|---|
| 薬剤 | 用量(mg/kg) | 投与間隔 |
| アモキシリン三水和物/クラブラン酸カリウム | 13.75 | 12時間おき |
| セファレキシン | 22 | 8~12時間おき |
| セファドロキシル | 22 | 12時間おき |
| セフォベシンナトリウム | 8 | 皮下投与、 14日間おきに最大2回注射 |
| セフポドキシム | 5 - 10 | 24時間おき |
| クロラムフェニコール | 40 - 50 | 8時間おき |
| クリンダマイシン | 5.5 - 33 11 |
12時間おき 24時間おき |
| ドキシサイクリン | 5 10 |
12時間おき 24時間おき |
| エンロフロキサシン | 5 - 20 | 24時間おき |
| エリスロマイシン | 10 | 8時間おき |
| リンコマイシン | 22 15.4 |
12時間おき 8時間おき |
| マルボフロキサシン | 2.75 - 5.5 | 24時間おき |
| オルビフロキサシン | 2.5 - 7.5 | 24時間おき |
| オキサシリン | 22 | 8時間おき |
| スルファジメトキシン/ オルメトプリム | 55(Day 1) 27.5(それ以降) |
24時間おき |
| トリメトプリム/ スルファジアジン | 15 | 12時間おき |
- 初期は週2~3回の頻回な入浴を行い、その後は再発防止のため週1回入浴させる。抗菌シャンプー、特にクロルヘキシジンまたは過酸化ベンゾイル含有製品を用いること:洗い流す前に10分間接触させる。
- 薬浴の方法 (.pdf)
- 入浴と入浴の間には、罹患部位をクロルヘキシジンのスプレーおよび拭き取りを1日1~3回行う。クロルヘキシジンに反応する患者にはナイシン拭き取りが代替法となる。
- 特に抵抗性症例には0.5%次亜塩素酸ナトリウムスプレーまたは浸漬も有用である。
- 外用脂肪酸またはオリゴ糖含有スプレーおよびスポットオンは、皮膚バリアを保護し、細菌のコロニー形成を抑制すると考えられる。
- 局所病変は外用抗菌クリームまたは軟膏(例、ムピロシン、スルファジアジン銀、フシジン酸ナトリウム)で治療できる。
- Staphage lysate® (Delmont Labs)は、ブドウ球菌属細菌に対する犬の免疫系を刺激するための補助療法として用いることが可能であり、再発が減少すると考えられる。
コメント
- 基礎となる原因を特定し、管理するための計画を立てる。基礎疾患であるアトピー性皮膚炎、食物アレルギー、ノミアレルギーなどの再発因子を管理する。
- 初期治療および長期治療の計画に積極的な外用療法を組み込む。
- 経験的治療に奏功しない患者、または抗菌薬使用歴のある患者では、細菌培養および感受性試験を実施する。
- 再発症例または非奏効症例では、コンプライアンスの重要性および精密診断検査の必要性について飼い主への教育を行う。
- そのペットの飼い主が実行可能な治療計画に重点を置く。
- 抵抗性症例または再発症例には現地の皮膚専門医への紹介を検討する。
- 感染症コントロール情報およびメチシリン耐性黄色ブドウ球菌感染症に関する飼い主用パンフレットのリンク www.wormsandgermsblog.com
- メチシリン耐性黄色ブドウ球菌感染症に関する情報のリンク www.mrsainanimals.com/BSAVA.html
- 動物病院の感染症コントロールに関するパンフレットのリンク
- Weese JS et al. Methicillin-resistant Staphylococcus aureus and Staphylococcus pseudintermedius in veterinary medicine. Vet Microbiology 140 (2010):418-429.
- Weese JS, et al. Factors associated with methicillin-resistant versus methicillin-susceptible Staphylococcus pseudintermedius infection in dogs. JAVMA 240(12)2012:1450-1455.
- vanDuijkeren E, et al. Review on methicillin-resistant Staphylococcus pseudintermedius. J Antimicrob Chemother 66(2011):2705-2714.
abscess
A discrete swelling containing purulent material, typically in the subcutis
Perianal abscess in a dog
alopecia
Absence of hair from areas where it is normally present; may be due to folliculitis, abnormal follicle cycling, or self-trauma
Extensive alopecia secondary to cutaneous epitheliotropic lymphoma
alopecia (“moth-eaten”)
well-circumscribed, circular, patchy to coalescing alopecia, often associated with folliculitis
“Moth-eaten” alopecia secondary to superficial bacterial folliculitis
hemorrhagic bullae
Blood-filled elevation of epidermis, >1cm
Interdigital hemorrhagic bulla in a dog with deep pyoderma and furunculosis
comedo
dilated hair follicle filled with keratin, sebum
Comedones on the ventral abdomen of a dog with hypercortisolism
crust
Dried exudate and keratinous debris on skin surface
Multifocal crusts due to pemphigus foliaceus
epidermal collarettes
Circular scale or crust with erythema, associated with folliculitis or ruptured pustules or vesicles
Epidermal collarettes in a dog with Staphylococcus superficial bacterial folliculitis
erosion
Defect in epidermis that does not penetrate basement membrane. Histopathology may be needed to differentiate from ulcer.
Erosions in a dog with vasculitis
erythema
Red appearance of skin due to inflammation, capillary congestion
Erythema in a dog with cutaneous drug eruption
eschar
Thick crust often related to necrosis, trauma, or thermal/chemical burn
Eschar from physical trauma
excoriation
Erosions and/or ulcerations due to self-trauma
Excoriations in a cat with atopic dermatitis
fissure
Excessive stratum corneum, confirmed via histopathology. This term is often used to describe the nasal planum and footpads.
Fissures of the footpads in a dog with superficial necrolytic dermatitis
fistula
Ulcer on skin surface that originates from and is contiguous with tracts extending into deeper, typically subcutaneous tissues
Perianal fistulas in a dog
follicular casts
Accumulation of scale adherent to hair shaft
Follicular casts surrounding hairs from a dog with hypothyroidism
hyperkeratosis
Excessive stratum corneum, confirmed via histopathology. This term is often used to describe the nasal planum and footpads.
Idiopathic hyperkeratosis of the nasal planum (left) and footpads (right)
hyperpigmentation
Increased melanin in skin, often secondary to inflammation
Inflammatory lesions (left) resulting in post-inflammatory hyperpigmentation (right)
hypotrichosis
Lack of hair due to genetic factors or defects in embryogenesis.
Congenital hypotrichosis in chocolate Labrador puppies.
lichenification
Thickening of the epidermis, often due to chronic inflammation resulting in exaggerated texture
Lichenification of skin in a dog with chronic atopic dermatitis and Malassezia dermatitis
macule
Flat lesion associated with color change <1cm
Pigmented macule (left) Erythematous macule (right)
melanosis
Increased melanin in skin, may be secondary to inflammation.
Post inflammatory hyperpigmentation of this dog’s thigh
miliary
Multifocal, papular, crusting dermatitis; a descriptive term, not a diagnosis
Miliary dermatitis in a flea allergic cat
morbiliform
A erythematous, macular, papular rash; the erythematous macules are typically 2-10 mm in diameter with coalescence to form larger lesions in some areas
Morbiliform eruptions in a dog with a cutaneous drug reaction
onychodystrophy
Abnormal nail morphology due to nail bed infection, inflammation, or trauma; may include: Onychogryphosis, Onychomadesis, Onychorrhexis, Onychoschizia
Onychodystrophy in dog with chronic allergies
onychogryphosis
Abnormal claw curvature; secondary to nail bed inflammation or trauma
Onychogryphosis in a dog with symmetric lupoid onychodystrophy
onychomadesis
Claw sloughing due to nail bed inflammation or trauma
Onychomadesis in a dog with symmetric lupoid onychodystrophy
onychorrhexis
Claw fragmentation due to nail bed inflammation or trauma
Onychorrhexis in a dog with symmetric lupoid onychodystrophy
onychoschizia
Claw splitting due to nail bed inflammation or trauma
Onychoschizia in a dog with symmetric lupoid onychodystrophy
patch
Flat lesion associated with color change >1cm
Hypopigmented patch (left), erythematous patch (right)
petechiae
Small erythematous or violaceous lesions due to dermal bleeding
Petechiae in a dog with cutaneous vasculitis
phlebectasia
Venous dilation; most commonly associated with hypercortisolism
Phlebectasia and cutaneous atrophy due to hypercortisolism in a dog
plaques
Flat-topped elevation >1cm formed of coalescing papules or dermal infiltration
Plaques in a cat with cutaneous lymphoma
pustule
Raised epidermal infiltration of pus
Pustules on the abdomen of a dog with superficial staphylococcal pyoderma.
scale
Accumulation of loose fragments of stratum corneum
Loose, large scales due to ichthyosis in a Golden Retriever
scar
Fibrous tissue replacing damaged cutaneous and/or subcutaneous tissues
Scarring (right) following the healing of an ulcer (left) in a dog with sterile nodular dermatitis
serpiginous
Undulating, serpentine (snake-like) arrangement of lesions
Serpiginous urticarial lesions on a horse
telangiectasia
Permanent enlargement of vessels resulting in a red or violet lesion (rare)
Telangiectasia in a dog with angiomatosis
ulcer
A defect in epidermis that penetrates the basement membrane. Histopathology may be needed to differentiate from an erosion.
Ulcerations of the skin of a dog with vasculitis.
urticaria
Wheals (steep-walled, circumscribed elevation in the skin due to edema ) due to hypersensitivity reaction
Urticaria in a horse
vesicle
Fluid-filled elevation of epidermis, <1cm
Vesicles and bullae on ear pinna due to bullous pemphigoid
wheal
Steep-walled, circumscribed elevation in the skin due to edema
Wheals associated with intradermal allergy testing in a horse














